医療ホワイトニングとは
-

歯科医療機関で
-

歯科医師・
歯科衛生士※1が歯科衛生士は歯科医師の指導のもと
医療ホワイトニング行為を実施 -

医療機器製品※2
を用いて過酸化水素または過酸化尿素含有製品/光照射器
歯の内部まで白くするホワイトニングです。
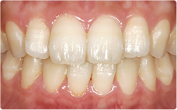
医療ホワイトニング
[医療ホワイトニング前]


[医療ホワイトニング後]


非医療ホワイトニング※3(セルフホワイトニング/美白用歯磨き粉など)
[非医療ホワイトニング前]


[非医療ホワイトニング後]

※3化粧品や歯磨き粉などで
歯の表面の着色を除去するホワイトニング











